最新鋭の機器

オルソパントモグラフ OP3D、ディゴラオプティメe、DTX Studio Clinic

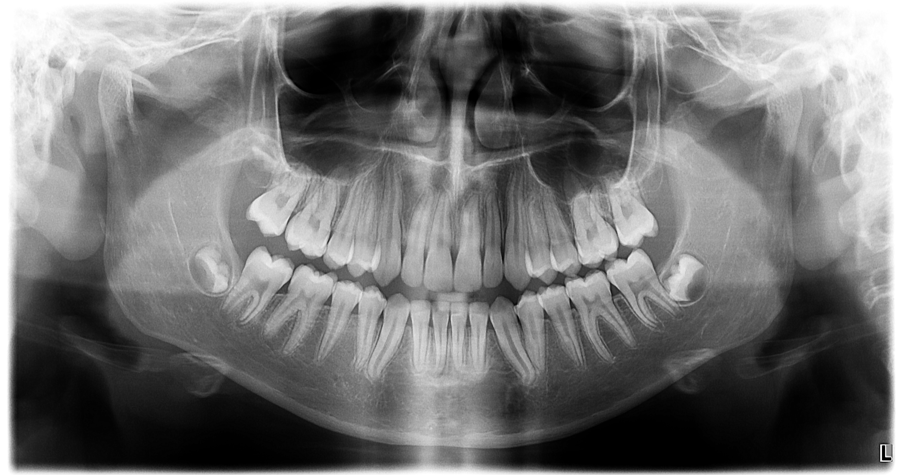
当院には正確で安全な治療を行うための検査機器をとして、最新鋭の歯科用CTシステムを導入しております。このシステムは、低い被ばく線量(総合病院などの医科用CTの1/10以下)で、3次元データの情報を得ることができ、これまでのレントゲン検査の診断が難しかった部分の診断も行えます。これにより患者さんのへのわかりやすい説明と更なる治療成績の向上が見込めます。

院長写真院長写真院長写真院長写真院長写真