入れ歯治療

よく噛めるためにはより良い入れ歯が必要です。よく噛めることの効用については一般的に言葉の発音がはっきりする、味覚が発達する、胃腸の働きを促進する、肥満の防止などがいわれ、高齢者においては脳の血流が良くなり痴呆が防止されるよく噛めるので食欲が出て低栄養が改善されるなどもいわれています。そのためにもよく噛める入れ歯がお口の中に必要です。

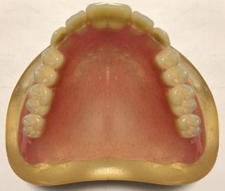
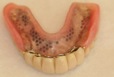
入れ歯による(義歯、取り外し式の歯)治療法には、以下のようなものがありますが、歯の残り方や予算を考慮して最適な治療法を選択します。当院では総義歯(すべての歯がない場合に入れる歯)、部分入れ歯(部分的に歯が残っている場合に入れる( 入れ歯)において、レジン床(保険適応)、金属床、磁性アタッチメント義歯、テレスコープ式義歯など様々な 入れ歯を取り扱っています。

入れ歯による治療法

●レジン床の総義歯(保険適応)

 主にレジンというプラスチック系の材料からできている入れ歯です。修理が比較的容易で、保険が適用されるので治療費が比較的安価であるという利点があります。プラスチックであるため、食べ物の熱さや冷たさの伝わり方が鈍い、やや壊れやすいという欠点もあります。

受付

 

●金属床の総義歯(自費)

 プラスチック系の材料とコバルトクロームやチタン等の金属からできている入れ歯です。
 フレームの部分が金属なので非常に薄く仕上げることができ、使用していて違和感が少なく発音もしやすい。食べ物の温かさや冷たさに対する感覚も自然に近い。精密にできているので吸着(顎への吸い付き)がよく、外れにくい。壊れにくく長持ちである。治療費に関して選定療養費制度を利用できます。

 

診察室

 

待合室

 

●レジン床の部分入れ歯(保険適用)

 プラスチック樹脂と針金等から構成される入れ歯で、保険適用なので治療費が比較的安価です。たわみやすく、噛んだときい歯に負担がかかりやすくなるので歯や義歯の下の粘膜に痛みが出やすい。強度不足を補うために、入れ歯が大きく、厚くなるという欠点もあります。

診察室

 

●金属床の部分入れ歯(自費)

 プラスチック系の材料とコバルトクローム等の金属から構成される入れ歯です。フレームの部分が金属なので保険適応のレジン床より薄くでき、さらに、たわみにくく、精密にできているため、噛んだときに歯に負担がかかりにくい。また、義歯の下の粘膜に痛みが出にくい。修理しやすく、比較的長く使えます。 

診察室

 

キッズルーム

 

●テレスコープ式義歯(自費)

 歯に直接つけられた内冠とそれに被さる外冠と入れ歯から構成されています。しっかりと固定され、口の中で入れ歯が動くことが少ないため、よく噛める。比較的修理しやすい。

キッズルーム

 

キッズルーム

 

●磁性アタッチメント義歯        

 残っている歯と入れ歯それぞれに磁石をとりつけることによって、磁石の力で入れ歯を維持します。入れ歯の金具がないので、見た目が良い。カチッと入れ歯が固定されるので安定感があり、外れにくい。磁石を付けた歯が抜歯になった場合修理する必要性があるという欠点もあります。

金属床総義歯の価格(選定療養費)

入れ歯の種類 料金
コバルトクローム床 300050円
チタン床 427777円